The fact that you can recognize Deepika or Farhan by their smiles alone tells you how important a role your smile plays as a part of your personality. Self Confidence, Social Interaction, Social Popularity all are affected by your smile.

They say, you aren’t completely dressed until you wear a smile. You have a chance to enhance your smile with our team of dedicated and skilled cosmetic dentists.

At Procare Dental Clinic we not only address the aesthetic factor but while achieving that we also ensure proper functionality and most importantly the longevity of the treatment. With a wide variety of treatment options available our expertize helps you to choose the best possible option personalised according to your needs. We specialize in smile design procedures, including teeth whitening, fillings, veneers, crowns, and orthodontic treatment. In short a variety of procedures to give you a stunning smile all under one roof.

Teeth Scaling and Polishing

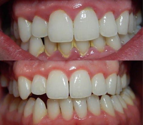
Due to the staining of your teeth due to the extrinsic factors like tea, coffee, smoking, etc. or tar (calculus) on and around your teeth, they might appear discoloured. This kind of discoloration can be simply managed by professional cleaning also called Scaling followed by polishing. This kind of tar can give rise to a lot of gum diseases with signs like bleeding during brushing, bad odour, exposed roots, sensitivity or mobility of the teeth; thus regular professional cleaning is necessary every 6 months.

Teeth Whitening in Kolkata

Most often people with discoloured teeth find it highly uncomfortable to smile in social events. So, for the stains that don’t vanish by scaling (intrinsic stains), teeth whitening is the right treatment of choice as the shade can be changed to one or two levels whiter. The procedure merely involves a single sitting with the application of the whitening agent on the teeth. At the end, the patient leaves Procare Dental Clinic with a confident smile as oppose to the shy one while walking in.

Types of Cosmetic Dentistry procedures
Composite fillings/veneers

Composite is a tooth coloured material that can be used to fill the cavities and is also applied as a layer (veneer) to cover the discolorations on the teeth. It can be used to correct the tooth broken due to a trauma and restore its normal shape and function without being noticed. Apart from requiring polishing at regular intervals, composites have the advantages of good colour matching requiring only a single appointment and most importantly being economical.

A permanent solution to discoloration or minor teeth malalignment is ceramic veneers which is a more conservative approach than crowns. Ceramic veneers are widely used by the models, the actors and the actresses to enhance their smiles by the virtue of their ability to match the colour properties of the neighbouring teeth with an amazing glaze and light transmitting and reflecting properties. With our two directors Dr. Pratik Chheda and Dr. Radhika Chheda, both being Prosthodontists with keen interests in laminate veneers with research backing and international publication to their names, one can say that Procare Dental Clinic would easily be the Dental clinic in Mulund or for that matter Best Dental Clinic in Kolkata to get Veneer treatment done.